
Интересное сегодня
Проблемы психического здоровья и дискриминация со стороны ст...
Проблемы психического здоровья и страховые компании В последний день 2024 года издание ProPublica оп...
Как неполная информация в LinkedIn влияет на оценку кандидат...
Рекрутеры и социальные сети: почему LinkedIn имеет значениеСовременные исследования показывают, что ...
Как выявить сфабрикованные сети в предприятиях, торгующих ав...
Введение Исследование фабрик статей, которые систематически производят поддельные рукописи для подач...
Ограниченные способности детей в использовании инструментов ...
Введение Дети могут обладать всеми необходимыми моторными навыками для завязывания шн...
Абсолютный слух: можно ли развить его во взрослом возрасте?
Что такое абсолютный слух? Абсолютный слух (также известный как «идеальный слух») — это редкая спосо...
Роль знакомости последовательностей в проверке порядка
Введение Обработка порядка считается важным аспектом числового развития. Например, чем быстрее челов...
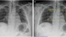
Введение в исследование ИИ в радиологии
Количество программных приложений с искусственным интеллектом (ИИ) для радиологии быстро растёт. На данный момент существует более 190 продуктов с маркировкой CE, из которых почти 100 получили разрешение FDA класса II или III. Для рентгенографии грудной клетки — самого часто выполняемого рентгенологического исследования в мире — существует широкий спектр сертифицированных систем поддержки клинических решений с ИИ на рынке.
Методология исследования
В исследовании участвовали 223 врача с разным уровнем экспертизы. Врачи внутренних болезней и неотложной медицины были классифицированы как нетask experts (неспециалисты в задаче), а радиологи — как task experts (эксперты в задаче). Участники получали рентгеновские снимки с точными диагностическими рекомендациями и должны были поставить диагноз, оценить качество совета и уверенность в своём решении.
Манипуляции с переменными
- Объяснимость совета: визуальные аннотации на рентгеновских снимках или их отсутствие
- Источник совета: ИИ-система или врач-радиолог
Результаты исследования
Нетask experts показали значительное улучшение точности диагностики при получении аннотированных советов от ИИ. Врачи оценивали качество советов ИИ выше, чем человеческих советов. На уверенность в диагнозе манипуляции не оказали сильного влияния.
Получение аннотированного совета от ИИ привело к наивысшей диагностической точности как у нетask experts, так и у task experts
Влияние объяснимости на разные группы
Нетask experts значительно выиграли от аннотаций, в то время как для task experts эффект был статистически незначимым. Это может быть связано с ceiling effects — изначально высокой точностью радиологов.
Обсуждение результатов
Результаты показывают, что объяснимый ИИ может быть особенно valuable для врачей-неспециалистов при review медицинских изображений. Это имеет большое значение для улучшения workflows и patient safety в условиях нехватки радиологов.
Ограничения исследования
Эксперимент проводился онлайн с ограниченным количеством случаев. Участники знали, что их диагнозы не повлияют на реальное лечение пациентов. Также не было достигнуто запланированного размера выборки.
Заключение и перспективы
Исследование демонстрирует потенциальные возможности объяснимого ИИ для радиологии и других медицинских направлений. Дальнейшие исследования должны focus на оптимизации представления ИИ-советов для минимизации слепого overreliance при ошибках системы.