Нарушение восприятия оси тела после инсульта: роль височной коры

Нарушение восприятия оси тела после инсульта: роль височной коры

Интересное сегодня

Эффект одушевленности на свободное вспоминание: исследование...

Введение в эффект одушевленности Когнитивные механизмы, лежащие в основе эффекта одушевленности на с...

Опыт аутичных людей в полицейском заключении: проблемы и пут...

Введение В последние годы растёт осознание проблем, с которыми сталкиваются аутичные люди в системе ...

Как тревожность влияет на восприятие эмоций других людей: пр...

Почему тревожность искажает восприятие эмоций Тревожность активирует систему обнаружения угроз в моз...

Нарушения зрительного поиска при церебральных нарушениях зре...

Введение в исследование визуального поиска Зрительная система человека получает изображения наивысше...

Использование интервенций на основе осознанности для улучшен...

Введение Атаксия — это неврологическое расстройство, при котором нарушается координация движений, чт...

Влияние Социальной Мобильности на Политическое Доверие в Лат...

Введение Как различные опыты социальной мобильности влияют на уверенность граждан в институтах? Разл...

Рисунок 1
Рисунок 1
Рисунок 2
Рисунок 2
Рисунок 3
Рисунок 3
Рисунок 4
Рисунок 4
Thumbnail 1
Thumbnail 2
Thumbnail 3
Thumbnail 4
Thumbnail 5
Thumbnail 6
Thumbnail 7
Оригинал исследования на сайте автора

Введение в нейроанатомию пространственного восприятия тела

Продольная ось тела играет фундаментальную роль в пространственной ориентации и восприятии внешних событий как эгоцентрическая (голово- или тело-центрированная) система отсчета. Таким образом, точное осознание направления оси тела, независимо от позы или ориентации тела в пространстве, имеет crucialное значение. Внутренние оценки ориентации оси тела включают интеграцию мультисенсорной информации от зрительной, вестибулярной и соматосенсорной систем. Эта афферентная сенсорная информация, по-видимому, комбинируется и интегрируется в мозге, вероятно, взвешенным образом, чтобы уменьшить сенсорную неоднозначность. Тем не менее, оценка ориентации оси тела сильно influenced ориентацией наклона тела относительно гравитации.

Субъективная визуальная ось тела (SVBA)

Более конкретно, субъективная визуальная ось тела (Subjective Visual Body Axis, SVBA) оценивается по корректировке participants визуальной линии вдоль воспринимаемой оси тела со смещениями в направлении общего наклона тела. Точный механизм, лежащий в основе этого явления, остается unclear, но была предложена одна возможность: нарушение голово/тело-центрированного пространственного кодирования, вызванное изменениями сенсорного входа, связанного с наклоном тела.

Методология исследования

В данном исследовании мы попытались решить вышеупомянутые проблемы, используя нейропсихологический подход у patients с черепно-мозговой травмой. Этот подход требует, чтобы черепно-мозговая травма предшествовала behavioral измерениям (задача SVBA в данном случае), что позволяет нам infer более прямую связь между выявленными областями мозга и перцептивным искажением ориентации оси тела во время наклона тела. В настоящем исследовании мы quantified искажение SVBA, зависящее от наклона, у patients с гемиспheric инсультом и подобранными по возрасту здоровыми controls и исследовали location и extension поражения, специфичные для patients с abnormal SVBA, используя анализ поражения.

Участники исследования

Это исследование было одобрено Этическим комитетом Реабилитационной больницы города Хамамацу и Медицинской школы Университета Хамамацу и проводилось в соответствии с Хельсинкской декларацией (2013). Все participants предоставили письменное informed согласие перед участием. Сорок patients с первым инсультом (церебральное кровоизлияние или cerebral infarction), поступивших в Реабилитационную больницу города Хамамацу в период с апреля 2019 года по февраль 2021 года, были набраны.

Критерии включения и исключения

  • Возраст от 20 до 89 лет
  • Праворукость до начала инсульта
  • Отсутствие bilateral поражений, cerebellum или brainstem
  • Отсутствие органического vestibular заболевания, головокружения или vertigo, сильной motion болезни и visual дефицита (hemianopia)
  • Отсутствие тяжелых musculoskeletal расстройств
  • Отсутствие history органического заболевания nervous системы (spinal injury)
  • Поведенческие тесты или КТ/МРТ головы в течение 3 месяцев после onset
  • Сохраненная способность сидеть без поддержки более 30 секунд

Результаты: Восприятие оси тела у пациентов и здоровых людей

Мы сравнили перцептивное искажение ориентации оси тела между patients с инсультом и здоровыми controls. Средние (± стандартное отклонение: SD) ошибки SVBA составили 0,3 ± 2,6° и 0,8 ± 6,6° в control и stroke группах соответственно. One-sample t-тесты (two-tailed) показали, что ошибки SVBA в обеих группах не significantly differed от нуля, что указывает на то, что patients с инсультом могли accurately оценить ориентацию оси тела в вертикальном положении так же хорошо, как и здоровые controls.

Ошибка, зависящая от наклона (TDE)

В отличие от вертикального положения, ошибки SVBA увеличивались, когда тело было наклонено в обеих группах, что согласуется с результатами предыдущих исследований. Ошибка, зависящая от наклона (Tilt-Dependent Error, TDE), индекс смещений SVBA, вызванных наклоном тела, была significantly меньше (т.е. производительность меньше affected наклоном тела) в stroke группе (15,9 ± 15,9°), чем в control группе (25,7 ± 17,1°). Этот результат indicates, что точность оценки ориентации оси тела меньше affected наклоном тела у patients с инсультом, чем у здоровых controls.

Анализ локализации поражений мозга

Чтобы identify location поражения, responsible за abnormally reduced TDE у patients с инсультом, мы сначала провели analysis subtraction поражения. Мы classified patients с инсультом либо в normal TDE группу, либо в abnormal TDE группу, используя point cutoff, определенный по TDE здоровых controls.

Ключевые области мозга

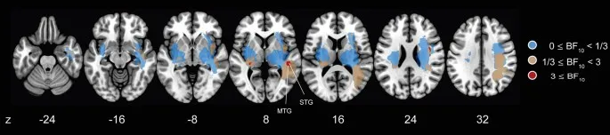
Карта subtraction (отображаются только вокселы с вероятностью > 40%) показала, что patients с abnormally reduced TDE tended иметь частые damage с центром в правой occipitotemporal коре, specifically в superior (STG) и middle (MTG) temporal извилинах, middle occipital извилине (MOG) и inferior parietal дольках, включая supramarginal извилину (SMG) и angular извилину (AG). Пиковый воксел (вероятность = 67%) был расположен в правой MTG [Координаты Montreal Neurological Institute (MNI): x = 42, y = −34, z = 8]. Эти результаты suggest, что поражения в правой occipitotemporal коре могут introduce reduction в зависящем от наклона перцептивном искажении ориентации оси тела у patients с инсультом.

Наши findings contribute к лучшему пониманию нейроанатомии тело-центрированного пространственного кодирования во время наклона всего тела.

Байесовский вывод о связи поражения и дефицита (BLDI)

Чтобы infer статистическую association между location поражения и TDE, мы further выполнили Bayesian lesion-deficit inference (BLDI) с mapping Bayes factor. BLDI хорошо подходит, especially для исследований с малой мощностью/выборкой. Анализ выявил доказательства в пользу H1 (BF10 ≥ 3) в правой STG и MTG в соответствии с descriptive finding; однако вокселы в правой MOG и inferior parietal дольках (SMG и AG) оказались without evidence как для H0, так и для H1.

Ограничения исследования

Следует отметить два limitations нашего исследования. Во-первых, распределение поражений правого полушария versus поражений левого полушария было асимметричным. Эта асимметрия может быть attributed, по крайней мере частично, difficulties в понимании задачи у patients с aphasia, вызванной damage левого полушария, что приводит к исключению таких patients из нашего исследования. Во-вторых, восприятие visual vertical не оценивалось у patients с инсультом.

Отсутствие связи с динамической постуральной способностью

Вторичной целью данного исследования было изучение связи между восприятием ориентации оси тела во время наклона всего тела и dynamic постуральной способностью у patients с инсультом. В отличие от предыдущих исследований, показывающих correlation между воспринимаемой осью тела и static постуральной ориентацией, мы не found значительной association между TDE в задаче SVBA и dynamic PASS score или amplitude lateral shift COP. Эти результаты suggest меньший вклад воспринимаемой оси тела как системы отсчета в dynamic постуральный контроль.

Заключение и выводы

Настоящие результаты показывают, что поражения головного мозга в правой затылочно-височной коре, таких как верхняя и средняя височные извилины, связаны с аномалией bias воспринимаемой ориентации оси тела, induced наклоном тела, у patients с гемиспheric инсультом. Это finding highlights vital роль этих областей в тело-центрированном пространственном кодировании, particularly когда голова и/или тело наклонены относительно gravity. Будущие исследования с использованием techniques нейромодуляции необходимы для предоставления более прямых доказательств involvement выявленных regions в восприятии ориентации оси тела.

Перспективы будущих исследований

Будущие нейропсихологические исследования, включающие оценку как SVV (Субъективная визуальная вертикаль), так и SVBA, будут способствовать лучшему пониманию общих и/или различных neural substrates, лежащих в основе этих задач пространственной ориентации. Кроме того, необходимы дальнейшие исследования с большим размером выборки, чтобы address эти вопросы и подтвердить полученные результаты.

Короткие версии статей можно найти в телеграм-канале.

Посмотреть канал
Кликните еще раз для перехода

Вода питьевая артезианская Pl негазированная - купить

Артезианская вода Pl добывается с глубины 200+ метров из экологически чистого региона. Проходит мног...

Крем для гиперчувствительной кожи Веледа с алтеем 50мл

Веледа крем для гиперчувствительной кожи лица с алтеем создан для деликатного ухода. Экстракт алтея ...

Термальная вода Avene для чувствительной кожи - набор 2х150 ...

Термальная вода Avene для чувствительной и раздраженной кожи с мгновенным успокаивающим эффектом. На...

Vichy Dercos Aminexil Pro для мужчин — купить от выпадения в...

Vichy Dercos Aminexil Pro для мужчин — инновационное средство против выпадения волос. Аминексил инте...

Мазь Календула 30г — Гомеопатическое средство для кожи

Гомеопатическая мазь Календула 30г — натуральное средство для ухода за кожей. Совместима с другими п...

Компрессионные колготки Релаксан Lady 2 класс - Купить

Релаксан Колготки Компрессионные Collant Lady Телесные 2 класса компрессии — идеальное решение для п...