Когнитивный профиль при церебральной микроангиопатии: сравнение церебральной амилоидной ангиопатии и гипертензивной микроангиопатии

Когнитивный профиль при церебральной микроангиопатии: сравнение церебральной амилоидной ангиопатии и гипертензивной микроангиопатии

Интересное сегодня

Изучение индивидуальных различий влияния физической привлека...

Выбор романтического партнера является фундаментальным человеческим поведением, однако факторы, влия...

Длительные эффекты психоделиков: новое исследование

Психоделики привлекают всё большее внимание в медицине, и первые результаты показывают, чт...

Как посторонние звуки влияют на возбуждение мозга и принятие...

Роль фазического возбуждения в когнитивных процессах Системы возбуждения ствола мозга, включая голуб...

Распространенность анедонии у женщин с глубоким эндометриозо...

Введение Глубокий эндометриоз (ГЭ) является наиболее тяжелой формой эндометриоза и часто сопровождае...

Влияние способности к теории разума на межличностную координ...

Введение Межличностная синхронизация поведения играет фундаментальную роль в социальных взаимодейств...

Как неравенство доходов влияет на мозг детей и их психическо...

Влияние социального неравенства на развитие мозга Масштабное нейровизуализационное исследование боле...

Рисунок 4
Рисунок 4
Рисунок 1
Рисунок 1
Рисунок 2
Рисунок 2
Рисунок 3
Рисунок 3
Thumbnail 1
Thumbnail 2
Thumbnail 3
Thumbnail 4
Thumbnail 5
Thumbnail 6
Thumbnail 7
Оригинал исследования на сайте автора

Введение

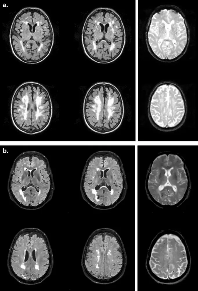
Церебральная микроангиопатия (ЦМА) — это группа патологических процессов, поражающих мелкие сосуды головного мозга. Она приводит к таким изменениям, как лейкоареоз (белое вещество гипертензивного генеза), лакуны, микрокровоизлияния и расширенные периваскулярные пространства. Наиболее распространенные формы ЦМА — церебральная амилоидная ангиопатия (ЦАА) и гипертензивная микроангиопатия (ГА).

Методы

В исследовании участвовали 71 пациент: 32 с ЦАА и 39 с ГА. Все прошли нейропсихологическое тестирование, включая:

  • MoCA (Монреальская шкала оценки когнитивных функций) — для оценки общего когнитивного статуса.
  • RAVLT (Тест слухового вербального обучения Рея) — для оценки вербальной памяти.
  • SDMT (Тест символов и цифр) — для оценки скорости обработки информации.
  • Тесты вербальной беглости (семантической и фонематической) — для оценки языковых функций.

Результаты

Когнитивные различия между ЦАА и ГА

Пациенты с ЦАА показали:

  • Более низкие результаты по MoCA (p = 0.001).
  • Ухудшение семантической беглости (p = 0.043).
  • Более высокую частоту амнестического легкого когнитивного нарушения (ЛКН) (68% против 46%).

При ГА преобладали нарушения внимания и исполнительных функций.

Факторы, связанные с когнитивным дефицитом

Многодоменный ЛКН у пациентов с ЦАА ассоциировался с худшими показателями RAVLT (β = −0.574), а у пациентов с ГА — с SDMT (β = −0.364) и фонематической беглостью (β = −0.351).

Обсуждение

Результаты подтверждают, что ЦАА связана с более сложным когнитивным профилем, включающим нарушения памяти и семантической обработки, в то время как ГА преимущественно влияет на внимание и исполнительные функции. Это может быть связано с комбинацией сосудистых и нейродегенеративных механизмов при ЦАА.

Заключение

Исследование подчеркивает необходимость дифференцированного подхода к диагностике и лечению когнитивных нарушений при разных формах ЦМА.

Короткие версии статей можно найти в телеграм-канале.

Посмотреть канал
Кликните еще раз для перехода

TENA Lady Extra №20 – урологические прокладки для женщин

Урологические прокладки TENA Lady Extra №20 обеспечивают надежную защиту при легкой и умеренной степ...

Доппельгерц Актив Глюкозамин + Хондроитин – здоровье суставо...

Доппельгерц Актив Глюкозамин + Хондроитин капсулы №30 — комплекс для поддержания здоровья суставов и...

Арома Тач Крепкие Корни — шампунь для роста и прочности воло...

Арома Тач Шампунь Крепкие Корни 250 мл — натуральная формула с эфирными маслами мускатного ореха, ил...

Панзинорм Форте 20000 — ферменты для пищеварения, 30 таблето...

Панзинорм Форте 20000 — ферментный препарат для улучшения пищеварения при недостаточности поджелудоч...

Купить чагу измельченную 50 г | Натуральный иммуномодулятор

Чага измельченная из березового гриба — натуральное тонизирующее средство с иммуномодулирующими свой...

Bella Panty Herbs Comfort с вербеной – прокладки 10 шт.

Гигиенические прокладки Bella Panty Herbs Comfort с экстрактом вербены обеспечивают чувство свежести...