Структурная связность нарциссизма: как мозг отражает grandiosity и vulnerability

Структурная связность нарциссизма: как мозг отражает grandiosity и vulnerability

Интересное сегодня

Профили развития детей с расстройством аутического спектра

Введение В 1970 году 1–2 из каждых 10 000 детей были диагностированы с аутизмом, в то время как в 20...

Нейронный маркер эффекта знакомства с лицом: как мозг узнает...

Введение в эффект знакомства с лицом Способность идентифицировать людей по лицу — распознавание иден...

Как эффективно работать в мультикультурной команде: советы и...

Глобализация и мультикультурные рабочие места Наши рабочие места и характер работы становятся все бо...

Интеллект и ожирение в эпоху эпидемии ожирения

Многочисленные исследования, проведенные за последние пять десятилетий, показали обратную связь межд...

Теория конфликта в социологии: основные принципы и примеры

Что такое теория конфликта? Теория конфликта рассматривает общество как постоянную борьбу между груп...

Почему делегирование искусственным агентам лучше, чем прямое...

Введение Современные достижения в области автоматизированного принятия решений и искусственного инте...

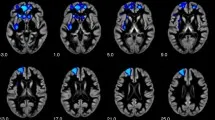
Рисунок 1
Рисунок 1
Рисунок 2
Рисунок 2
Thumbnail 1
Thumbnail 2
Thumbnail 3
Thumbnail 4
Thumbnail 5
Оригинал исследования на сайте автора

Введение в нейробиологию нарциссизма

Социальные иерархии доминирования и подчинения являются универсальным феноменом для большинства видов. Распознавание, репрезентация и регуляция социального статуса представляют собой essential cognitive processes (основные когнитивные процессы), лежащие в основе этих иерархий. В животных моделях эти когнитивные функции представлены в префронтальных областях мозга, особенно в medial prefrontal cortex (mPFC - медиальной префронтальной коре) и ее dorsomedial-thalamic connections (дорсомедиально-таламических связях).

У людей neural correlates (нейронные корреляты) социального доминирования предположительно представлены во фронтолимбических областях, включая медиальную, вентромедиальную, дорсолатеральную и поясную кору, миндалину и гиппокамп. В свою очередь, социальное подчинение ассоциируется с фронтостриарными системами, включающими вентромедиальную, вентролатеральную и островковую кору, а также стриатум.

Эти поведения и когнитивные процессы тесно связаны с клиническими фенотипами, такими как нарциссизм, с features (чертами) включающими entitlement (чувство entitlement), exploitative behavior (эксплуатационное поведение), inflated self-importance (раздутое самомнение), authoritarianism (авторитаризм), self-sufficiency (самодостаточность), striving for power (стремление к власти) и self-aggrandizement (самовозвеличивание).

Две стороны нарциссизма: grandiosity и vulnerability

Нарциссический фенотип представляет собой diametric construct (диаметральный конструкт), включающий grandiose (грандиозные) и vulnerable (уязвимые) аспекты. Grandiose narcissism (Грандиозный нарциссизм) отражает pervasive pattern ( pervasive pattern ) grandiosity, need for admiration (потребность в admiration), и unwillingness to empathy (нежелание проявлять empathy), таким образом, его черты напоминают social dominance. Кроме того, self-importance подчеркивается preoccupied fantasies ( preoccupation ) unlimited success, power, brilliance, и beauty.

Vulnerable narcissism (Уязвимый нарциссизм), который ассоциируется с orientation социального подчинения, выражается в low и fragile self-esteem (хрупкой самооценке), social avoidance (социальном избегании), axis I и II psychiatric disorders (психических расстройствах I и II оси) и general emotional vulnerability (общей эмоциональной уязвимости). Более высокая prevalence (распространенность) неприятных эмоциональных состояний, таких как anger, aggression, и shame, также характерна. Entitlement - вера в то, что заслуживаешь особых benefits и attention, - является общей чертой, присутствующей в обоих аспектах нарциссизма.

Методы оценки нарциссических черт

Нарциссизм может оцениваться с помощью self-evaluative measurement tools (самооценочных измерительных инструментов), таких как Pathological Narcissism Inventory (PNI - Инвентарь Патологического Нарциссизма), который включает грандиозные и уязвимые аспекты нарциссизма в рамках семи subscales (подшкал): contingent self-esteem (обусловленная самооценка), devaluing (обесценивание), hiding the self (сокрытие себя), exploitation (эксплуатация), entitlement rage (гнев entitlement), self-sacrificing self-enhancement (самоусиление через самопожертвование) и grandiose fantasy (грандиозная фантазия).

Narcissistic Personality Inventory (NPI - Инвентарь Нарциссической Личности) - это another questionnaire (другой опросник) для измерения нарциссических черт, но он ограничивается только грандиозными features.

Нейровизуализационные исследования нарциссизма

До настоящего времени существует лишь несколько нейровизуализационных исследований нарциссизма. Однако differences (различия) в prefrontal networks (префронтальных сетях) consistently identified (последовательно идентифицировались), overlapping (перекрываясь) со структурами мозга, вовлеченными в constructs такие как social functioning, empathy, и emotional regulation.

Более того, описывались associations с functional activation в cingulate, insular и premotor cortex, а также structural correlates в postcentral gyrus. Следует отметить, что нарциссизм по-разному оценивался в различных исследованиях с использованием PNI, NPI, Narcissism Inventory (NI) или clinical judgement.

Reduction of white matter integrity (Снижение целостности белого вещества) в fronto-thalamic pathways было идентифицировано у пациентов с Narcissistic personality disorder (NaPD - Нарциссическим расстройством личности) и предполагается relevant в social expectation, которое предположительно biased у нарциссических individuals.

Гипотезы и цели исследования

В данном исследовании мы использовали PNI для проверки гипотезы о том, что грандиозные versus уязвимые нарциссические черты ассоциированы с white matter integrity в трех selected tracts во фронтолимбических и фронтоталамических сетях в nonclinical sample. Мы выбрали PNI due to его coverage обоих грандиозных и уязвимых features.

Мы сфокусировались на anterior thalamic radiation (ATR - переднем таламическом излучении) due to результатов previously published pilot study of NaPD и overlaps этого тракта с fronto-striatal connections, которые ассоциированы с subclinical grandiose narcissism. Мы selected uncinate fasciculus (UF - крючковидный пучок) и cingulum (поясной пучок) для проверки associations с особенно уязвимыми чертами на основе neural correlates с related phenotypes такими как neuroticism и negative emotionality.

Методология исследования

Участники исследования

Мы проанализировали sample из 296 здоровых subjects (107 мужчин, 189 женщин, средний возраст = 23.65 лет; SD = 3.58), соответствовавших критериям включения: возраст 18–45 лет, native German speaker, центральноевропейское происхождение, normal или corrected-to-normal vision.

Критерии исключения: traumatic brain injury, неврологические или CNS (central nervous system - центральная нервная система) related или psychiatric disorders, psychotropic medication, BMI > 35, MR contraindications, и physical disorders incompatible с MR scanning. Кроме того, estimate общего intellectual ability был получен с использованием German Mehrfach-Wortschatz-Intelligenztest B (MWTB) для исключения subjects с general intellectual impairment или learning disability (IQ < 85).

Методы нейровизуализации

Данные Diffusion Tensor Imaging (DTI - диффузионно-тензорная визуализация) были acquired на 3Т MRI scanner с использованием sequence single-shot spin-echo EPI sequence. Анализ данных проводился с использованием Tract-Based Spatial Statistics (TBSS - статистика на основе трактов) в software library FSL с применением Threshold-Free Cluster Enhancement (TFCE - улучшение кластеров без порога) для тестирования correlations fractional anisotropy (FA - фракционной анизотропии) и шкал PNI.

Результаты исследования

Корреляции показателей PNI с фракционной анизотропией

FA положительно коррелировала с PNI total в правом заднем cingulum и PNI Vulnerable в левом переднем cingulum и правом заднем cingulum. Более detailed information о location и cluster size представлена в табличных данных. Результаты представлены графически на рисунках.

Не было обнаружено significant correlations для PNI Grandiosity. Дополнительные exploratory analyses подшкал выявили positive correlations FA и DEV (devaluing) в двух кластерах в левом переднем cingulum. Кроме того, другой positive effect был найден для FA и ENTR (entitlement rage) в левом переднем cingulum.

Анализ с учетом половых различий

Сравнение psychometric data для female и male participants показало significant group level differences для PNI Grandiosity (мужчины > женщины), PNI CSE (contingent self-esteem; женщины > мужчины) и PNI EXP (exploitation; мужчины > женщины).

Мы обнаружили significant sex-specific effect в FA левого ATR для PNI EXP с negative association для женщин и positive для мужчин.

Обсуждение результатов

Настоящее исследование было проведено для проверки гипотезы о том, что неклинические нарциссические черты ассоциированы со structural connectivity во фронтоталамических и фронтолимбических pathways. Эти тракты related к major networks, вовлеченным в cognitive и emotional evaluation.

Наши DTI analyses предоставляют additional gain beyond voxel и surface-based analyses для разработки network-oriented theory для нарциссических черт. Более того, это исследование является первым, investigating оба грандиозных и уязвимых аспекта нарциссизма в large psychiatrically healthy sample.

Интерпретация результатов относительно уязвимого нарциссизма

Одна prominent feature фронтолимбических сетей - их relation к emotion regulation, которая является core feature нарциссизма и была emphasized в previous imaging studies. Наши findings предполагают positive association FA в dorsolimbic areas (левый передний и правый задний cingulum) и уязвимых нарциссических чертах.

Эти результаты могут быть interpreted как demand управления negative feelings такими как anger, rage, и shame, которые ассоциированы с narcissistic vulnerability. Более precisely, anterior sections предполагаются referring к emotional appraisal (connections к amygdala и orbitofrontal cortex - OFC) и могли бы объяснить наши significant correlations с подшкалами entitlement rage и devaluing.

Отсутствие ожидаемых корреляций и ограничения исследования

Наши analyses failed найти correlations в FA в ventrolimbic networks (UF), которые соединяют orbitofrontal кору с anterior temporal cortex и являются essential для emotion regulation. Хотя следует отметить, что dorsolimbic networks также related к cognitive control, action-outcome learning, и episodic memory.

Мы не можем assume с certainty, что наши результаты inevitably должны быть interpreted как relating к emotion regulation или cognitive control given факт, что мы focused на large neural networks с broad ranges функций. Кроме того, мы только performed association analyses, которые не могут предоставить information о possible mediating или moderating variables.

Выводы и направления будущих исследований

В summary, наши результаты делают important contribution к previously published studies, так как это первый крупный анализ, демонстрирующий differences во фронтолимбических и фронтоталамических сетях у healthy individuals и examining нарциссизм как multidimensional construct.

Further analyses необходимы для investigating разных facets нарциссизма в detail и white matter integrity, mediating или moderating effects, а также structural connectivity. Исследование подчеркивает сложность нейробиологических основ нарциссических черт личности и необходимость дальнейшего изучения этих взаимосвязей с учетом половых различий и различных аспектов нарциссизма.

Короткие версии статей можно найти в телеграм-канале.

Посмотреть канал
Кликните еще раз для перехода

Индинол 300 мг №60 – антиэстрогенная защита и комфорт

Индинол 300 мг №60 – селективный модулятор эстрогеновых рецепторов с антиэстрогенным и антипролифера...

Витаминные пастилки Натурино Черная Смородина №8

Натурино Пастилки Витаминные Черная Смородина №8 – вкусная БАД с натуральным соком для восполнения д...

Инфинити Сила Любви 300 мг — комплекс для здоровья и энергии

Инфинити Сила Любви Таб. 300 мг №100 — комплекс из 38 природных компонентов, включая мака перуанскую...

Крем Можжевельник Нарин 100 мл – натуральная поддержка суста...

Нарин Крем для тела Можжевельник 100 мл – натуральное средство на основе эфирных масел для ухода за ...

Бронхо-Ваксом Детский для профилактики инфекций дыхательных ...

Бронхо-Ваксом Детский — иммуностимулирующий препарат для профилактики и лечения инфекций дыхательных...

Синтомицин линимент 10% – эффективный антибиотик

Синтомицин линимент 10% – антибиотик широкого спектра действия для наружного применения. Эффективен ...