Влияние семейных отношений на интернет-зависимость у подростков: нейробиологическое исследование

Влияние семейных отношений на интернет-зависимость у подростков: нейробиологическое исследование

Интересное сегодня

Искусственный интеллект научился различать типы нейронов: пр...

Прорыв в нейронауке: ИИ научился различать типы нейронов Крупное открытие в области нейронауки стало...

Разработка и психометрическая оценка опросника когнитивных д...

Введение Детские браки (ДБ) остаются серьезной глобальной проблемой в сфере здравоохранения. Под ДБ ...

Как психопатические черты и социальная предрасположенность и...

Введение Психопатия традиционно связывается с высокоуровневыми когнитивными процессами, однако ее вл...

Абсентеизм на работе: психологические причины и решения в ус...

Современный контекст абсентеизма Мы живем в эпоху непрерывных трансформаций, конфликтов и множествен...

Можно ли упасть в обморок при панической атаке? Причины и сп...

Можно ли упасть в обморок при панической атаке? Паническая атака — это внезапное и интенсивное чувст...

Последствия домашнего насилия для детей: психологические, эм...

Введение Воздействие насилия в детстве является основным фактором риска множественных проблем со здо...

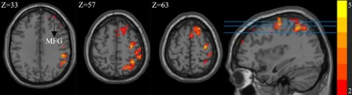
Рис. 1. Значение mALFF в группе IGD значительно повышено в области мозга. Черная стрелка указывает на среднюю лобную извилину, а синие горизонтальные линии представляют Z = 33, Z = 57 и Z = 63. MFG, средняя лобная извилина
Рис. 1. Значение mALFF в группе IGD значительно повышено в области мозга. Черная стрелка указывает на среднюю лобную извилину, а синие горизонтальные линии представляют Z = 33, Z = 57 и Z = 63. MFG, средняя лобная извилина
Рис. 2. Значение mALFF в группе IGD значительно снижено в области мозга. Синие вертикальные линии представляют X = -52, X = -9 и X = 8
Рис. 2. Значение mALFF в группе IGD значительно снижено в области мозга. Синие вертикальные линии представляют X = -52, X = -9 и X = 8
Рис. 3. Медиационная роль MFG между семейными отношениями и интернет-зависимостью в группе IGD (a*b, косвенный эффект; c’, прямой эффект; *p < 0,05; MFG, средняя лобная извилина; IGD, интернет-игровая зависимость)
Рис. 3. Медиационная роль MFG между семейными отношениями и интернет-зависимостью в группе IGD (a*b, косвенный эффект; c’, прямой эффект; *p < 0,05; MFG, средняя лобная извилина; IGD, интернет-игровая зависимость)
Рис. 4. Области мозга с повышенной FC MFG в группе IGD. Синие горизонтальные линии представляют Y = -38, Y = -22 и Y = 1
Рис. 4. Области мозга с повышенной FC MFG в группе IGD. Синие горизонтальные линии представляют Y = -38, Y = -22 и Y = 1
Рис. 5. Значения FC от MFG к правой островковой доле положительно коррелировали с конфликтом в группе IGD
Рис. 5. Значения FC от MFG к правой островковой доле положительно коррелировали с конфликтом в группе IGD
Thumbnail 1
Thumbnail 2
Thumbnail 3
Thumbnail 4
Thumbnail 5
Оригинал исследования на сайте автора
Читать короткую версию
Кликните еще раз для перехода

Влияние семейных отношений на интернет-зависимость у подростков: нейробиологическое исследование

Современный мир, пропитанный цифровыми технологиями, сделал интернет-гейминг одним из самых популярных видов досуга среди подростков. Однако эта повсеместная увлеченность привела к растущей распространенности расстройства, известного как интернет-игровая зависимость (Internet Gaming Disorder, IGD). IGD определяется как чрезмерное или неконтролируемое погружение в интернет-игры, игнорирование долгосрочных негативных последствий, что приводит к нарушениям в межличностных отношениях, социальной адаптации, а также в физическом и психическом здоровье. Последние эпидемиологические исследования показывают, что общая распространенность IGD среди подростков составляет 8,8% [1], причем доля Азии среди четырех континентов является самой высокой — 9,9% [2]. В связи с этим, исследование факторов, влияющих на развитие IGD у подростков, приобретает огромное значение.

Семейные отношения и IGD

Семейные отношения играют значительную роль в развитии подростков. Они охватывают сплоченность, эмоциональное выражение и уровень конфликтов между членами семьи, особенно между родителями и подростками [3]. В подростковом возрасте происходит изменение среды развития, и подростки постепенно отделяются от своих семей, стремясь к независимости [4]. Подростки с неблагополучными семейными отношениями склонны обращаться к онлайн-играм, чтобы избежать негативных эмоций [5]. Подростки с IGD воспринимают свои семейные отношения как более негативные [6], часто характеризующиеся низкой сплоченностью, ограниченным эмоциональным выражением и высоким уровнем конфликтов [7, 8]. Исследования показывают, что плохие семейные отношения связаны с повышенной распространенностью IGD [9, 10], в то время как позитивные семейные отношения выступают как защитные факторы против IGD [11, 12]. Недостаток семейной заботы [13], высокий уровень конфликтов [12] и неполные семьи [14] идентифицированы как факторы риска для IGD. В семейной среде, характеризующейся детским психологическим насилием, подростки могут искать поддержку в виртуальном мире и постепенно развивать IGD [15].

Спонтанная активность мозга и IGD

Спонтанную активность мозга можно выявить с помощью функциональной магнитно-резонансной томографии в состоянии покоя (resting-state functional magnetic resonance imaging, rsfMRI). Исследования спонтанной активности мозга при IGD стремительно развиваются, предоставляя лучшее понимание нейронных механизмов, лежащих в основе IGD, и позволяя дифференцировать IGD от нормальных популяций. Предыдущие исследования указывали на изменения в функции и структуре мозга у лиц с IGD; однако большинство исследований сосредоточено на взрослых, и их результаты не могут быть напрямую применены к подросткам. Подростковый возраст — это критический период для развития когнитивных и поведенческих функций мозга, а исследования спонтанной активности мозга показывают, что префронтальная кора развивается позднее, демонстрируя линейное увеличение в течение подросткового возраста [16]. У подростков с IGD спонтанная активность мозга в основном характеризуется аномалиями в дорсолатеральной префронтальной коре (dorsolateral prefrontal cortex, DLPFC) [17], которая активируется при участии в интернет-играх, что приводит к повышенной импульсивности [18], низкому самоконтролю [19, 20], нарушению когнитивных способностей [21] и недостаточно развитым лобно-теменным сетям (frontoparietal networks, FPN) [22]. Следовательно, существуют различия в спонтанной активности мозга между взрослыми и подростками, при этом подростки являются группой высокого риска развития IGD [23].

Семейные отношения и спонтанная активность мозга

Достижения в области нейровизуализации позволили исследовать нейронные механизмы, связывающие семейные отношения и IGD у подростков. Исследования показали, что семейные отношения могут влиять на развитие функций и структуры мозга у подростков [24]. Семейные отношения играют важную роль в когнитивном контроле, опосредованном префронтальной корой подростков [25]. Высокая сплоченность в семейных отношениях может способствовать развитию функций когнитивного контроля в мозге подростков [26] и улучшать когнитивную гибкость у детей [27]. Рост в поддерживающей семейной среде ассоциируется с более сильными исполнительными функциями (executive function, EF) у детей [28]. Напротив, стрессовые семейные условия могут неблагоприятно влиять на развитие префронтальной коры [29], а высокий уровень конфликтов в семейных отношениях приводит к продольному увеличению активации левой префронтальной коры у подростков [30]. Агрессивные семейные отношения, как было показано, приводят к плохому развитию префронтальной коры у подростков [31]. Кроме того, некоторые исследования показали, что семейные отношения подростков с IGD связаны с чувствительностью к вознаграждению, опосредованной префронтально-стриарной системой [11]. Семейная поддержка значительно смягчает негативный прогностический эффект тревожности на EF у подростков [32].

Таким образом, как семейные отношения, так и спонтанная активность мозга играют жизненно важную роль в развитии IGD, однако нейробиологические механизмы, лежащие в основе связи между семейными отношениями и IGD, остаются недостаточно изученными. Широко признанная модель, объясняющая развитие и поддержание IGD, — это модель IPACE [33, 34]. Эта модель интегрирует психологические и нейробиологические факторы, предполагая, что индивидуальные предрасположенности — такие как черты личности, мотивация и психопатология — взаимодействуют с аффективными состояниями (например, стресс, тревога, депрессия) и когнитивными процессами (например, чувствительность к вознаграждению, предвзятые ожидания), влияя на выполнение поведения. Важно отметить, что дефицит исполнительных функций, включая нарушение ингибиторного контроля или способности к планированию, может усугублять дезадаптивное поведение, формируя петлю обратной связи, которая поддерживает аддиктивные паттерны. В целом, модель IPACE предоставляет комплексную теоретическую основу для исследования нейронных и поведенческих механизмов, лежащих в основе IGD. Основываясь на текущих исследованиях, данное исследование фокусируется на подростках и использует rsfMRI для оценки спонтанной активности мозга, в частности, средней амплитуды низкочастотных флуктуаций (mean amplitude of low-frequency fluctuation, mALFF) и функциональной связности (functional connectivity, FC). Исследование проанализирует корреляции между шкалами и mALFF, а также дополнительно исследует опосредующую роль спонтанной активности мозга в отношениях между семейными отношениями и IGD. Цель данного исследования — предоставить лучшие профилактические стратегии и методы лечения подростковой IGD.

Материалы и методы

Участники и процедура

Данное исследование носило кросс-секционный характер.

1. Группа IGD: Для группы IGD были отобраны подростки с диагнозом IGD, которые посещали амбулаторное психиатрическое отделение Первой аффилированной больницы Чжэнчжоуского университета с сентября 2021 года по апрель 2023 года. Группа состояла из 45 мальчиков и 7 девочек. Критерии включения: (1) Диагноз IGD, поставленный на основе критериев Диагностического и статистического руководства по психическим расстройствам, пятое издание (DSM-5), двумя психиатрами; (2) Возраст 12–18 лет, этническая принадлежность — хань, правши; (3) Общий балл ≥ 40 по Шкале интернет-зависимости Янга (Young Internet Addiction Scale, YIAS); (4) Ежедневное время игр ≥ 4 часа или еженедельное время игр ≥ 30 часов. Критерии исключения: (1) История тяжелой черепно-мозговой травмы или органических заболеваний мозга, таких как энцефалит или эпилепсия; (2) Интеллектуальная недостаточность с IQ < 80; (3) Противопоказания к МРТ, такие как металлические имплантаты, фобии или неспособность сотрудничать во время сканирования; (4) Применение каких-либо психиатрических препаратов или других видов лечения (например, физиотерапия, психотерапия) в течение последнего месяца; (5) Предыдущий или текущий диагноз других психических расстройств (таких как депрессия, тревожное расстройство, шизофрения и т. д.). Во время набора 90 подростков соответствовали критериям включения и исключения; однако 35 отказались участвовать, а 3 не завершили все оценки, поэтому выборка состояла из 52 подростков с IGD.

2. Группа здорового контроля (HC): В группу HC были включены подростки, набранные из сообщества в период с сентября 2021 года по апрель 2023 года. Группа состояла из 41 мальчика и 10 девочек. Критерии включения: (1) Отсутствие диагноза IGD согласно DSM-5; (2) Возраст 12–18 лет, этническая принадлежность — хань, правши; (3) Балл по YIAS < 40; (4) Ежедневное время игр < 4 часа и еженедельное время игр < 30 часов. Критерии исключения были такими же, как и для группы IGD. Во время набора 52 подростка соответствовали критериям включения и исключения; однако 1 не завершил все оценки, в результате чего в группе HC была окончательная выборка из 51 подростка.

Данное исследование соответствовало Хельсинкской декларации Всемирной медицинской ассоциации. Оно было одобрено Этическим комитетом Первой аффилированной больницы Чжэнчжоуского университета (номер одобрения: 2022KY0438002). Перед участием все испытуемые и их семьи были проинформированы о цели, значимости и процедурах исследования и дали письменное информированное согласие.

Общие социодемографические данные

У участников были собраны общие социодемографические данные, включая пол, возраст, продолжительность обучения и ежедневное или еженедельное время игр, наряду с психологическими оценками и получением данных rsfMRI. Психологические оценки были выполнены самими участниками.

Психологическая оценка

Шкала интернет-зависимости Янга (Young Internet Addiction Scale, YIAS)

Шкала YIAS, разработанная Яном, использовалась для оценки степени интернет-зависимости у подростков [35]. Эта шкала состоит из 20 пунктов, оцениваемых по 5-балльной шкале, от «почти никогда» (1) до «всегда» (5). Общий балл варьируется от 20 до 100, при этом балл ≥ 40 указывает на интернет-зависимость. Более высокие баллы указывают на более серьезную зависимость. Предыдущие исследования показали, что YIAS обладает хорошей надежностью и валидностью среди китайских подростков [10, 36]. В данном исследовании коэффициент альфа Кронбаха для YIAS составил 0,81.

Китайская версия шкалы семейной среды (Chinese Version of the Family Environment Scale, FESCV)

Китайская версия шкалы FESCV использовалась для оценки семейной среды подростков. Шкала включает 90 пунктов, оцениваемых как «да» или «нет», и состоит из 10 субшкал: сплоченность, эмоциональное выражение, конфликт, независимость, ориентация на достижения, интеллектуально-культурная ориентация, отдых, морально-религиозный акцент, организация и контроль [37]. Данное исследование сосредоточилось на субшкалах сплоченности, эмоционального выражения и конфликта, поскольку они наиболее релевантны семейным отношениям [3]. Более высокие баллы по сплоченности и эмоциональному выражению указывают на лучшие семейные отношения, в то время как более высокие баллы по конфликту указывают на более плохие семейные отношения. FESCV продемонстрировала хорошую надежность, валидность и внутреннюю согласованность [37]. В данном исследовании коэффициент альфа Кронбаха для FESCV составил 0,71.

Получение данных МРТ

Данные МРТ были получены с использованием МРТ-сканера Siemens Magnetom Prisma 3,0 Т с 64-канальной головной катушкой. Участникам было предложено сохранять неподвижность во время сканирования. Сначала была выполнена обычная МРТ-последовательность сканирования головы для исключения лиц с явными структурными аномалиями мозга. Затем последовало rsfMRI-сканирование с использованием техники однокадровой эхо-планарной визуализации. Специфические параметры последовательности сканирования были следующими: BOLD-последовательность, время повторения (TR) = 1000 мс, время эха (TE) = 30 мс, угол наклона (flip angle) = 70°, толщина среза = 2,2 мм, количество срезов = 52, размер матрицы = 64 × 64, размер вокселя = 3 мм × 3 мм × 3 мм, продолжительность сканирования = 360 с.

Предварительная обработка данных фМРТ

Предварительная обработка данных проводилась с использованием пакета DPABI на платформе Matlab. Шаги включали преобразование формата данных, исключение временных точек, коррекцию времени срезов, коррекцию движения головы, пространственную нормализацию, удаление линейного дрейфа, регрессию ковариат, полосовую фильтрацию и очистку данных. Ни один из участников не был исключен из-за чрезмерного движения головы.

Расчет амплитуды низкочастотных флуктуаций

Амплитуда низкочастотных флуктуаций (ALFF) отражает уровень спонтанной активности мозга в каждом вокселе в состоянии покоя, измеряемый BOLD-сигналом в диапазоне 0,01–0,08 Гц. Среднее значение ALFF для каждого вокселя вычисляется в этом частотном диапазоне, а значение mALFF рассчитывается как отношение значения ALFF для каждого вокселя к среднему значению ALFF по всему мозгу. Затем значения mALFF подвергались детрендингу и фильтрации для повышения чувствительности к спонтанной активности мозга.

Анализ функциональной связности

Области интереса (regions of interest, ROIs) были выбраны на основе интересующих участков мозга, со сферическими ROI радиусом 3 мм, центрированными на координатах выбранных областей. FC рассчитывалась между выбранными ROI и другими областями мозга. Для улучшения нормальности к значениям FC применялось преобразование Фишера Z, а для сглаживания ширины на полувысоте использовался Гауссовский фильтр 6 мм. Значения FC для каждого ROI извлекались с помощью пакета DPABI, где FC представляет собой силу активности между различными областями мозга.

Статистический анализ

Анализ mALFF и FC

Независимые t-критерии Стьюдента проводились для значений mALFF областей мозга между группами IGD и HC с использованием программного обеспечения SPM8, с учетом возраста, пола и сдвига кадра (framewise displacement, FD) в качестве ковариат. Были выявлены различия mALFF в областях мозга, и анализ FC проводился для выбранных областей с использованием независимых t-критериев Стьюдента. Для коррекции Гауссовым случайным полем (Gaussian random field, GRF) использовался пакет DPABI, где p < 0,005 на уровне вокселей и p < 0,05 на уровне кластеров указывали на статистическую значимость, а минимальный размер кластера был установлен в 30 вокселей.

Анализ общих данных и медиации

Статистический анализ проводился с использованием SPSS 22.0. Тесты на нормальность всех данных проводились с помощью теста Шапиро-Уилка. Категориальные данные выражались в виде n (%), а непрерывные данные с нормальным распределением — в виде среднего значения ± стандартного отклонения (SD). Для сравнения количественных данных общей информации (таких как возраст и продолжительность обучения) использовался независимый t-критерий Стьюдента, а для сравнения качественных данных (таких как пол) — хи-квадрат тест. Для оценки взаимосвязей между переменными использовался корреляционный анализ Пирсона. Медиационный анализ проводился с использованием плагина PROCESS в SPSS, была выбрана модель 4 [38]. Используя значение mALFF дифференциальных областей мозга в группе IGD в качестве медиаторной переменной, семейные отношения группы IGD в качестве независимой переменной, а баллы YIAS группы IGD в качестве зависимой переменной, с учетом пола и возраста как ковариат из-за их потенциального влияния на IGD, была построена медиационная модель. Методы бутстрэпа с 5000 выборками использовались для тестирования медиации, и использовался 95% доверительный интервал (CI). Медиационные эффекты считались значимыми, если CI не содержал 0. Различия считались статистически значимыми при p < 0,05 (двусторонние).

Результаты

Сравнение общих социодемографических данных и YIAS, FESCV между двумя группами

Статистически значимых различий между группами по возрасту, продолжительности обучения и полу не обнаружено. Однако были выявлены значимые различия между группами по баллам YIAS и оценкам FESCV для конфликта и сплоченности (P < 0,05). Значимых различий по показателю эмоционального выражения не обнаружено, как показано в Таблице 1.

Таблица 1. Сравнение общих социодемографических данных и YIAS, FESCV между двумя группами
Параметр Группа IGD (n=52) Группа HC (n=51) p-значение
Возраст (годы) 15,2 ± 1,8 15,0 ± 1,5 0,621
Образование (годы) 9,8 ± 1,2 9,7 ± 1,0 0,785
Пол (м/ж) 45/7 41/10 0,492
YIAS (баллы) 55,3 ± 8,2 25,1 ± 7,5 < 0,001
FESCV: Сплоченность 35,1 ± 6,5 42,3 ± 5,8 < 0,001
FESCV: Эмоциональное выражение 28,5 ± 4,1 30,2 ± 3,9 0,098
FESCV: Конфликт 18,9 ± 5,2 12,5 ± 4,5 < 0,001

Результаты mALFF

По сравнению с группой HC, значения mALFF правой верхней тетрабоковой извилины, правой нижней тетрабоковой извилины, правой прецентральной извилины, правой надкраевой извилины, правой постцентральной извилины, правой дорсолатеральной верхней лобной извилины, правой дополнительной двигательной области (SMA) и правой средней лобной извилины (MFG) были значительно повышены в группе IGD (Рис. 1). В то время как значения mALFF левой верхней мозжечковой ножки, двусторонней извилины прямой, левой веретенообразной извилины, двустороннего полюса височной доли, левой парагиппокампальной извилины, левой орбитальной верхней лобной извилины и левой медиальной орбитальной верхней лобной извилины были значительно снижены в группе IGD (Рис. 2).

Рис. 1. Значение mALFF в группе IGD значительно повышено в области мозга. Черная стрелка указывает на среднюю лобную извилину, а синие горизонтальные линии представляют Z = 33, Z = 57 и Z = 63. MFG, средняя лобная извилина
Рис. 1. Значение mALFF в группе IGD значительно повышено в области мозга. Черная стрелка указывает на среднюю лобную извилину, а синие горизонтальные линии представляют Z = 33, Z = 57 и Z = 63. MFG, средняя лобная извилина
Рис. 2. Значение mALFF в группе IGD значительно снижено в области мозга. Синие вертикальные линии представляют X = -52, X = -9 и X = 8
Рис. 2. Значение mALFF в группе IGD значительно снижено в области мозга. Синие вертикальные линии представляют X = -52, X = -9 и X = 8

Корреляционный анализ семейных отношений, спонтанной активности мозга и интернет-зависимости

Корреляционный анализ показал, что только сплоченность, MFG и интернет-зависимость были статистически значимо связаны друг с другом попарно. Корреляционный анализ Пирсона выявил отрицательную корреляцию между сплоченностью в семейных отношениях и MFG (r = -0,443, p < 0,01), отрицательную корреляцию между сплоченностью и интернет-зависимостью (r = -0,474, p < 0,01) и положительную корреляцию между интернет-зависимостью и MFG (r = 0,557, p < 0,01) в группе IGD, как показано в Таблице 2.

Таблица 2. Коэффициент корреляции между семейными отношениями, спонтанной активностью мозга и интернет-зависимостью в группе IGD
Переменная Сплоченность MFG (mALFF) YIAS
Сплоченность 1 -0,443** -0,474**
MFG (mALFF) -0,443** 1 0,557**
YIAS -0,474** 0,557** 1

** p < 0,01

Медиационная роль MFG между семейными отношениями и интернет-зависимостью

Используя значение mALFF MFG в группе IGD в качестве медиаторной переменной, сплоченность группы IGD в качестве независимой переменной и баллы YIAS группы IGD в качестве зависимой переменной. Результаты показали, что семейные отношения значимо негативно предсказывали интернет-зависимость у подростков с IGD (β = -0,289, P < 0,05), а семейные отношения значимо негативно предсказывали MFG (β = -0,414, P < 0,05). При включении медиаторной переменной прямой эффект семейных отношений на интернет-зависимость оставался значимым (β = -0,289, P < 0,05), в то время как MFG значимо положительно предсказывал интернет-зависимость (β = 0,441, P < 0,05). MFG играл медиационную роль между семейными отношениями и интернет-зависимостью, со значением медиационного эффекта -0,183 и долей эффекта 38,77%, как показано в Таблице 3; Рис. 3.

Таблица 3. Прямые и косвенные эффекты и 95% доверительные интервалы для модели
Эффект β 95% CI (нижняя граница) 95% CI (верхняя граница) p-значение
Прямой эффект (семейные отношения → IGD) -0,289 -0,512 -0,066 0,010*
Непрямой эффект (семейные отношения → MFG → IGD) -0,183 -0,365 -0,052 0,025*
Общий эффект -0,472 -0,725 -0,219 < 0,001

* p < 0,05

Рис. 3. Медиационная роль MFG между семейными отношениями и интернет-зависимостью в группе IGD (a*b, косвенный эффект; c’, прямой эффект; *p < 0,05; MFG, средняя лобная извилина; IGD, интернет-игровая зависимость)
Рис. 3. Медиационная роль MFG между семейными отношениями и интернет-зависимостью в группе IGD (a*b, косвенный эффект; c’, прямой эффект; *p < 0,05; MFG, средняя лобная извилина; IGD, интернет-игровая зависимость)

Результаты FC MFG

При использовании правой MFG в качестве ROI для анализа FC было обнаружено, что по сравнению с группой HC, FC правой MFG была значительно увеличена с двусторонней SMA, двусторонней прецентральной извилиной, правой постцентральной извилиной, двусторонними медиальными и парацентральными поясными извилинами, двусторонними парацентральными долями, правой надкраевой извилиной, правой дорсолатеральной верхней лобной извилиной, правым роландовым валиком и правой островковой долей в группе IGD (Рис. 4).

Рис. 4. Области мозга с повышенной FC MFG в группе IGD. Синие горизонтальные линии представляют Y = -38, Y = -22 и Y = 1
Рис. 4. Области мозга с повышенной FC MFG в группе IGD. Синие горизонтальные линии представляют Y = -38, Y = -22 и Y = 1

Корреляционный анализ между FC MFG и FESCV в группе IGD

Корреляционный анализ Пирсона показал положительную корреляцию между значением FC от MFG к правой островковой доле и конфликтом в семейных отношениях (r = 0,349, p < 0,05), как показано на Рис. 5.

Рис. 5. Значения FC от MFG к правой островковой доле положительно коррелировали с конфликтом в группе IGD
Рис. 5. Значения FC от MFG к правой островковой доле положительно коррелировали с конфликтом в группе IGD

Обсуждение

Данное исследование было сосредоточено на подростках с IGD для изучения влияния семейных отношений на IGD. Во-первых, было обнаружено, что сплоченность в семейных отношениях отрицательно коррелировала с интернет-зависимостью. Во-вторых, MFG была идентифицирована как медиатор между семейными отношениями и интернет-зависимостью. Наконец, анализ FC с использованием MFG в качестве ROI показал, что значение FC между MFG и правой островковой долей положительно коррелировало с конфликтом в группе IGD.

Влияние семейных отношений на IGD

Результаты указывают на отрицательную корреляцию между сплоченностью и интернет-зависимостью, что согласуется с предыдущими исследованиями [5, 39]. Сплоченность, как определено в FESCV, относится к «эмоциональной связи между членами семьи и чувству близости, выражаемому через чувство принадлежности и принятия в семье» [40]. Семьи с низкой сплоченностью склонны усиливать мотивацию подростков к эскапизму, поскольку эти подростки могут обращаться к онлайн-играм для социального взаимодействия, чтобы избежать дисфункциональной семейной среды [5]. В отличие от этого, семьи с более высокой сплоченностью могут способствовать адаптивным стратегиям эмоциональной регуляции посредством общения и обмена [41], обеспечивая чувство принадлежности и безопасный выход для снятия напряжения. Это, в свою очередь, помогает регулировать внешние стрессоры, такие как проблемы со сверстниками, снижая риск IGD [42] и уровень тревожности у подростков с IGD [43]. Что касается лечения, сплоченность играет важную роль в управлении IGD. Хан и соавт. провели семейную терапию для подростков с IGD и обнаружили, что через три недели улучшения в семейной сплоченности были связаны с повышенной активацией в хвостатом ядре в ответ на эмоциональные стимулы и отрицательно коррелировали с временем онлайн-игр [44]. Когнитивно-поведенческая терапия (CBT) также продемонстрировала снижение тяжести IGD и максимальное улучшение семейной сплоченности [45]. Однако лонгитюдные исследования предполагают, что высокая семейная сплоченность не обязательно снижает риск IGD, что указывает на то, что в лечении IGD следует учитывать факторы, помимо сплоченности [43].

Медиационная роль MFG между семейными отношениями и интернет-зависимостью

Данное исследование показало, что MFG играет медиационную роль на пути от семейных отношений к интернет-зависимости у подростков с диагнозом IGD. MFG, играющая ключевую роль в эмоциональной регуляции, демонстрирует значительную активацию при обработке негативных эмоций [46]. Являясь частью DLPFC, MFG является ключевым узлом в сети когнитивного контроля. В подростковом возрасте способности к когнитивному контролю все еще развиваются, а нейропластичность когнитивных функций подростков, наряду с социальными влияниями на нервную систему [47], приводит к изменениям в толщине префронтальной коры, связанным как с когнитивными, так и с эмоциональными аспектами [48]. Следовательно, семейные отношения подростков могут влиять на развитие функций и структур мозга.

Эти выводы можно интерпретировать в рамках модели IPACE интернет-игровой зависимости [33, 34]. Согласно модели, аддиктивное поведение возникает в результате взаимодействия индивидуальных предрасположенностей (Person), аффективных состояний (Affect), когнитивных процессов (Cognition) и исполнительных функций (Execution). MFG, как ключевая область, участвующая в когнитивном контроле и исполнительных функциях, соответствует компоненту «Execution» модели. Низкая семейная сплоченность может влиять на аффективные состояния и когнитивные процессы подростков, которые, в свою очередь, задействуют MFG для регуляции поведенческих реакций. Этот механизм обеспечивает нейробиологическое объяснение того, как семейные отношения влияют на склонность подростков к интернет-зависимости через изменения в когнитивном контроле и исполнительных функциях.

Согласно когнитивно-поведенческой модели IGD [49], подростки из семей с низкой сплоченностью, как правило, имеют более высокую чувствительность к вознаграждению и более низкий когнитивный контроль, что приводит к усилению желания играть в онлайн-игры и неспособности контролировать эти позывы. Это соответствует модели IPACE, поскольку взаимодействие аффективных и когнитивных факторов, опосредованное областями исполнительных функций, такими как MFG, способствует дезадаптивному игровому поведению. Таким образом, наше исследование предлагает нейробиологический механизм, связывающий семейные отношения с интернет-зависимостью. Предыдущие исследования показали, что семейная терапия может улучшить семейную сплоченность у подростков с IGD и снизить активацию DLPFC [44], в то время как CBT может улучшить когнитивный контроль [50].

Интеграция модели IPACE предоставляет комплексную теоретическую основу, связывающую семейные, когнитивные и нейронные механизмы интернет-зависимости у подростков.

Анализ FC MFG

При использовании MFG в качестве ROI для анализа FC результаты показали аномальную FC в областях мозга, преимущественно в пределах FPN. DLPFC является ключевым узлом FPN [51] и участвует в обучении с обратной связью в подростковом возрасте [52]. Семейные отношения также были связаны с FPN [53], предполагая, что аномальная FC в FPN у подростков с IGD может быть связана с нарушением когнитивных функций и способностей к эмоциональной регуляции, обусловленным плохими семейными отношениями. Аномалии FPN также наблюдались при наркотической зависимости и связаны с когнитивным контролем [54]. Кроме того, наше исследование выявило положительную корреляцию между значением FC от MFG к правой островковой доле и конфликтом в группе IGD. Островковая доля является ключевой областью для обработки эмоций [55] и одной из критических областей мозга для аддиктивного поведения [56]. Как MFG, так и островковая доля являются ключевыми узлами в значимых сетях мозга, которые играют роль в эмоциональных реакциях [57], а также участвуют в префронтально-лимбической системе, регулирующей эмоции [55]. Аномальная FC между MFG и островковой долей может быть объяснена тем, что в подростковом возрасте происходят изменения в восприятии подростком внешней среды, в то время как стили воспитания родителей могут не адаптироваться. В результате у подростков с IGD снижены способности к эмоциональной обработке, и они менее охотно сталкиваются с негативными эмоциями с членами семьи. Семейные разногласия, особенно когда подростки остро реагируют на строгие стили воспитания, могут приводить к конфликтам [5], что приводит к формированию семейных разладов.

Ограничения и будущие исследования

Существует несколько ограничений данного исследования, которые требуют решения в будущих исследованиях: Во-первых, кросс-секционный дизайн исследования, хотя и предоставляет теоретическую основу для медиационной модели, не позволяет делать прямые выводы о причинно-следственных связях между переменными. Будущие исследования должны учитывать возможность применения лонгитюдных когортных исследований для изучения взаимосвязей между IGD, семейными отношениями и спонтанной активностью мозга. Во-вторых, тяжесть IGD в данном исследовании в целом была легкой, а выборка не была однородной. Подростки с более тяжелой IGD могут иметь худшую самооценку и не обращаться за лечением, что ограничивает обобщаемость исследования. Будущие исследования должны включать более широкий спектр тяжести IGD. В-третьих, в нашей выборке было больше мальчиков, чем девочек, что соответствует эпидемиологическим данным, предполагающим, что мальчики более уязвимы к развитию IGD [58]. Хотя пол был статистически контролируем в наших анализах, будущие исследования должны далее изучать потенциальные гендерно-специфические нейронные механизмы в MFG. В-четвертых, размер выборки данного исследования относительно невелик, что может снизить статистическую мощность. Будущие исследования предполагают расширение выборки для дальнейшей проверки выводов данного исследования и повышения его универсальной применимости. Наконец, данное исследование основывалось на самоотчетах подростков, которые могут вносить потенциальные искажения, поскольку ответы могут зависеть от эмоциональных или ситуационных факторов во время оценки. Кроме того, данное исследование не собирало информацию о социально-экономическом статусе, стилях воспитания или образовании родителей. Эти переменные могут иметь потенциальное влияние на IGD. Эти ключевые социальные факторы должны быть включены в будущие исследовательские проекты для расширения охвата результатов исследований и повышения строгости контроля за искажающими переменными.

Заключение

Данное исследование является первым, которое выявило медиационную роль MFG в отношениях между семейными отношениями и интернет-зависимостью у подростков, демонстрируя междисциплинарный дизайн, интегрирующий психологические и нейровизуализационные методы. Полученные данные свидетельствуют о том, что улучшение семейных отношений (например, повышение сплоченности) может снизить риск IGD путем модуляции функции MFG, предлагая новые идеи для нейрообратной связи, направленной на подростковую IGD. Например, транскраниальная магнитная стимуляция (TMS) может потенциально снизить риск IGD. Хотя выборка состояла из китайских подростков, предыдущие исследования показывают, что психологические и поведенческие механизмы, связанные с IGD, демонстрируют межкультурную инвариантность [59], следовательно, результаты данного исследования могут быть применимы и к другим популяциям с аналогичным культурным фоном семьи.

В целом, данное исследование изучило корреляцию между семейными отношениями и IGD у подростков, и результаты показали, что семейные отношения связаны с интернет-зависимостью, MFG играла посредническую роль между семейными отношениями и интернет-зависимостью, а значение FC от MFG к правой островковой доле в группе IGD положительно коррелировало с конфликтом. Это предполагает, что MFG может служить нейробиологическим маркером, посредством которого семейные отношения влияют на развитие IGD у подростков.

Короткие версии статей можно найти в телеграм-канале.

Посмотреть канал
Кликните еще раз для перехода

Contex Extra Sensation презервативы 3 шт - купить

Contex Extra Sensation презервативы №3 с крупными точками и ребрами для усиленной стимуляции. Анатом...

Детское жидкое мыло Мое Солнышко с авокадо 300 мл

Жидкое мыло «Мое Солнышко» с маслом авокадо деликатно очищает нежную детскую кожу, предотвращая шелу...

Маалокс таблетки жевательные №20 — антацид, защита желудка

Маалокс жевательные таблетки №20 — эффективное средство при изжоге и дискомфорте в желудке. Сочетани...

Салвисар мазь для наружного применения 25 г – купить в аптек...

Салвисар мазь для наружного применения в тубе 25 г – эффективное средство для облегчения боли в суст...

Кралонин капли 30 мл: гомеопатический препарат для сердца

Кралонин — гомеопатическое средство для поддержки сердечно-сосудистой системы. Капли применяются в к...

Стопдиар капс. 200мг №12 - от бактериальной диареи

Стопдиар – противомикробный препарат для лечения бактериальной диареи. Действует исключительно в киш...